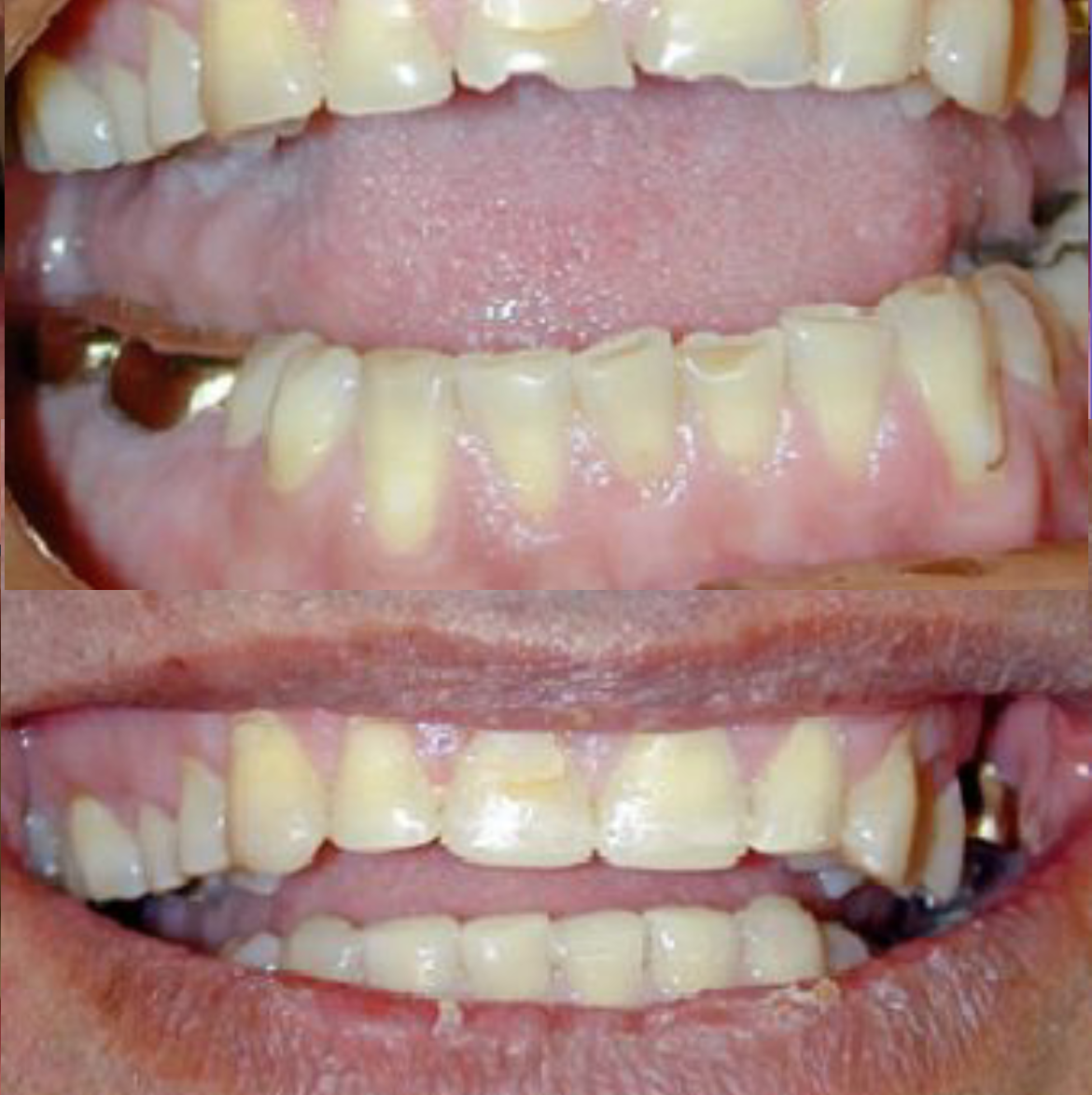
Dental veneers are thin layers of porcelain that are bonded to the front surface of existing teeth. The colour and shape of the veneers are matched for a natural-looking smile.


Veneers are a versatile and instant way to transform your smile:
The treatment for dental veneers requires little to no anaesthesia. Your dentist will prepare the surface enamel and then take an impression of the tooth from which the veneer will be custom-made.
During your second visit, your dentist will check the form and visual appearance of the new veneers before bonding them into place. For optimal appearance, further polishing may be required.
Dental veneers can last for many years, with regular care. Your dentist will advise you on the most appropriate way to look after your teeth after your treatment.

Hassan graduated from the University of Birmingham, School of Dentistry, in 2013
Jas advances his skills through postgraduate courses with Basil Mizrahi and the ITI Foundation.