Teeth-whitening should only ever be carried out by a dentist or a regulated dental professional on the prescription of a dentist.
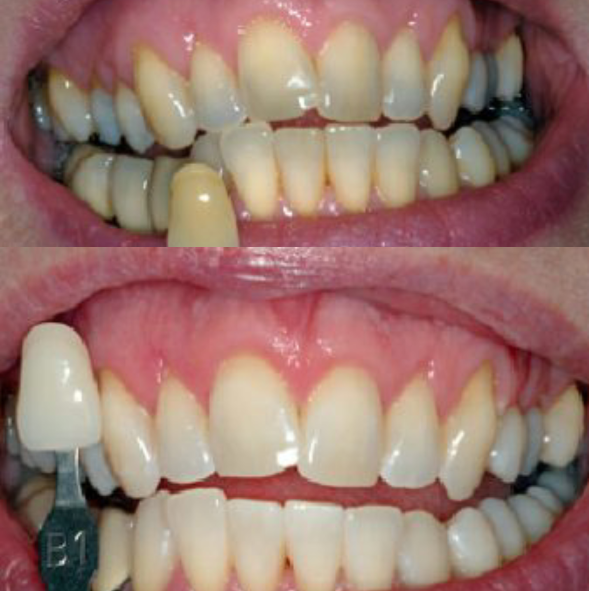
The colour of your teeth naturally changes and darkens with age. Coffee, red wine, coloured foods, smoking and poor oral hygiene can also stain and discolour teeth.
Teeth-whitening is a popular dental treatment that can lighten the natural colour of your teeth and brighten your smile.

During your initial consultation, your dentist will advise you on teeth-whitening treatment options and help you decide which is right for you. You must be over 18 and have healthy teeth and gums to benefit from a whitening treatment.
Home whitening consists of the application of a whitening gel inside custom-made trays worn over your teeth for a few hours a day or overnight for a period of a few weeks. You can expect a whiter and brighter smile gradually.
Whitening treatments can last 1-2 years. The effectiveness and duration are dependent on your consumption of coffee, red wine, coloured food and tobacco as well as your oral hygiene regime.

Hassan graduated from the University of Birmingham, School of Dentistry, in 2013
Jas advances his skills through postgraduate courses with Basil Mizrahi and the ITI Foundation.